Beispiele für Ohrentzündungen bei Hund und Katze

Die häufigste Ursache von Ohrentzündungen bei Hund und Katze sind Allergien. Allergische Veränderungen lassen sich jedoch nicht eindeutig anhand von Fotos erkennen, da sie sehr unterschiedlich aussehen können.

Die folgenden Bildbeispiele zeigen daher sichtbare primäre (nicht allergische) Ursachen sowie sekundäre Veränderungen, die im Rahmen einer Ohrentzündung auftreten können. Sie sollen helfen zu verstehen, warum Ohrentzündungen manchmal immer wiederkehren oder sich trotz Behandlung verschlechtern.

Sichtbare primäre Ursachen (Beispiele)

Die folgenden Bildbeispiele zeigen sichtbare primäre (nicht allergische) Ursachen sowie sekundäre Veränderungen, die im Rahmen einer Ohrentzündung auftreten können. Sie sollen helfen zu verstehen, warum Ohrentzündungen manchmal immer wiederkehren oder sich trotz Behandlung verschlechtern.

Ohrmilben

Ohrmilben sind kleine Parasiten, die im Gehörgang leben und starken Juckreiz verursachen. Typisch sind häufiges Kratzen, Kopfschütteln und ein dunkler, krümeliger Ohrbelag.

Ohrmilben (weiss) bei einer Katze

Ohrmilbe unter dem Mikroskop
Ohrmilbe unter dem Mikroskop

Fremdkörper im Gehörgang (z. B. Granne)

Fremdkörper wie Grannen können tief in den Gehörgang eindringen und dort eine schmerzhafte Entzündung verursachen. Solange der Fremdkörper nicht entfernt wird, heilt die Ohrentzündung nicht dauerhaft ab.

Bild einer älteren Granne, also einer Grassamenspelze mit hinteren borstigen Fortsätzen - den Hacheln, tief im Gehörgang vor dem Trommelfell. Die schwarzen Hacheln im Bild halten die Spelze, die zum Trommelfell gerichtet ist, fest und treiben sie mit jeder Bewegung tiefer in den Gehörgang.
Bild einer älteren Granne, also einer Grassamenspelze mit hinteren borstigen Fortsätzen - den Hacheln, tief im Gehörgang vor dem Trommelfell. Die schwarzen Hacheln im Bild halten die Spelze, die zum Trommelfell gerichtet ist, fest und treiben sie mit jeder Bewegung tiefer in den Gehörgang.

Polypen im Gehörgang (Katze)

Polypen sind gutartige Gewebewucherungen, die den Gehörgang verengen oder verschließen können.

Polyp im Gehörgang einer jungen Maine-Coon-Katze
Polyp im Gehörgang einer jungen Maine-Coon-Katze
Entfernter Ohrpolyp von 2,5 cm Länge bei der jungen Maine Coon Katze
Entfernter Ohrpolyp von 2,5 cm Länge bei der jungen Maine Coon Katze

Primäre Ceruminaldrüsenhyperplasie (Katze)

Bei Katzen kann es selten zu einer primären Vermehrung der Ohrdrüsen kommen. Diese Veränderung entsteht unabhängig von Allergien und kann selbst der Auslöser einer Ohrentzündung sein.

Primäre Hyperplasie der Ceruminaldrüsen bei einer Katze

Sekundäre Veränderungen bei Ohrentzündungen

Sekundäre Veränderungen entstehen als Folge einer bereits bestehenden Ohrentzündung. Sie verschlimmern die Symptome, sind aber meist nicht die ursprüngliche Ursache.

Hefepilze (Malassezien)

Hefepilze gehören zur normalen Hautflora, können sich bei einer Ohrentzündung jedoch stark vermehren.

Malassezia Hefepilze in 400 facher Vergrösserung
Malassezia Hefepilze in 400 facher Vergrösserung

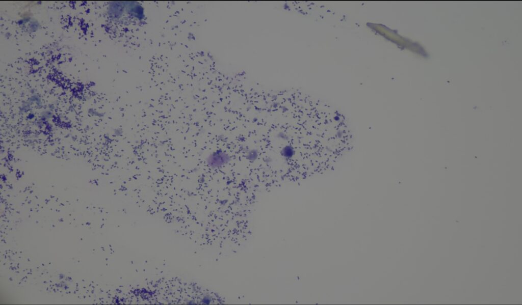
Bakterielle Infektion (Pseudomonas)

Bestimmte Bakterien vermehren sich vor allem bei länger bestehenden Ohrentzündungen und erschweren die Behandlung.

Massenhaft nachgewiesene Pseudomonas Bakterien in 400 facher Vergrösserung

Ohrentzündungen können sehr unterschiedliche Ursachen haben. Die häufigste Ursache sind Allergien – diese lassen sich jedoch nicht direkt an Fotos erkennen. Sichtbar werden im Ohr meist primäre Veränderungen (z. B. Parasiten, Fremdkörper oder Polypen) sowie sekundäre Veränderungen wie Hefepilze oder Bakterien.

Die hier gezeigten Bildbeispiele sollen verdeutlichen, warum eine gründliche Untersuchung des Ohres und die Suche nach der eigentlichen Ursache entscheidend für eine erfolgreiche Behandlung sind.